Les fractures de métacarpiens des doigts longs

C’est LA fracture du samedi soir, qui survient en tapant dans un mur: la fracture du col du 5ème métacarpien. Les fractures des autres métacarpiens ne sont pas rares non plus, avec divers mécanismes (autrement dit pas forcément en cognant...). On estime qu'elles représentent presque 50% des fractures de la main. Elles arrivent avant les fractures de phalanges.
Les symptômes d'une fracture métacarpienne sont assez simples. Après un choc (coup de poing, écrasement, etc...), la main gonfle et il apparaît en général un hématome sur le dos de la main en regard de l'os cassé.
La mobilité des doigts diminue. Cela à cause du gonflement et de la douleur. Mais aussi parfois à la suite du déplacement de la fracture. De même un trouble de rotation entraîne un chevauchement du doigt lésé sur le voisin.
En cas de fracture métacarpienne l'opération n'est pas systématique. Elle se justifie en cas de grand déplacement, ou de risque de déplacement. En revanche s'il y a un trouble de rotation, la chirurgie est obligatoire.
Nous ne parlerons dans cet article que des fractures concernant les métacarpiens des doigts longs (de l'index à l'auriculaire). Les fractures du métacarpien du pouce n'obéissent pas au même raisonnement; elles feront partie d'un article ultérieur.
Anatomie des métacarpiens
Les os métacarpiens sont compris entre les os du carpe et les doigts. De par leur forme ils forment une triple arche, dans les trois plans de l'espace. Les 4ème et 5ème métacarpiens sont mobiles à leur base, ce qui permet de creuser encore plus cette arche lors des mouvements de préhension.

De par leur forme, les métacarpiens forment une triple arche. Les arches métacarpiennes permettent la préhension.
Les métacarpiens comportent trois zones distinctes. La base s'articule avec les os du carpe. La diaphyse correspond à la partie centrale de l'os. La tête forme l'articulation avec les doigts. Le col se trouve entre la diaphyse et la tête.

Notons enfin l'orientation des chaînes digitales, qui n'obéit pas au hasard. Lors de la flexion des doigts, ces derniers convergent en direction d'une zone correspondant au scaphoïde. Tout trouble de rotation lors d'une fracture de métacarpien brisera cette convergence.

Fracture de métacarpe: les symptômes
Comme nous l'avons vu en introduction, le diagnostic d'une fracture métacarpienne n'est pas compliqué.
Le mécanisme est déjà évocateur. En effet ces fractures surviennent toujours suite à un choc important. On retrouvera donc un choc direct, un écrasement, un coup de poing dans un mur...

L'hématome que l'on retrouve parfois au dos de la main n'est que transitoire. Le plus souvent il disparaît après quelques jours. Il en est de même pour la douleur, surtout en cas de fracture non déplacée.
L'élément le plus important à évaluer est l'existence d'un trouble de rotation. Si tel est le cas, la chirurgie devient impérative. En effet cette déformation, qui peut passer inaperçue lorsque les doigts sont en extension, est très mal tolérée. Chaque degré de rotation au niveau du métacarpien aboutit à 5° de rotation au niveau du bout du doigt, soit un chevauchement de 1,5 cm sur le doigt voisin.

Trouble de rotation après fracture du 5ème métacarpien
La radiographie de main permet d'établir le diagnostic sans difficulté. Sur les clichés le médecin évalue le déplacement, la forme de la fracture, et surtout sa localisation. Muni de tous ces éléments un traitement adéquat pourra alors être proposé.
Traitement des fractures de métacarpe
Le traitement des fractures de métacarpes peut être soit orthopédique (c'est à dire une simple immobilisation), soit chirurgical. En cas de chirurgie, il existe trois techniques principales: brochage, vissage, plaque. Quelle que soit la technique retenue, il est important de savoir que le tabagisme rallonge considérablement le temps de consolidation.
Traitement orthopédique des fractures de métacarpe
La plupart des fractures métacarpiennes étant stables, il s'agit du traitement le plus fréquent.
On utilise classiquement une attelle qui maintient le doigt atteint ainsi que son voisin en position "intrinsèque plus". C'est à dire que l'on maintient les articulations métacarpo-phalangiennes fléchies, ce qui limite considérablement le risque d'enraidissement. Suivant le type de fracture, on immobilise le poignet ou non.

L'attelle peut être soit réalisée sur mesure (orthèse sur mesure), soit on utilise une attelle du commerce spécialement conçue pour ce type d'immobilisation.
La durée d'immobilisation varie de 1 mois à 6 semaines, en fonction de la consolidation.
Traitement chirurgical des fractures de métacarpe
Les techniques chirurgicales varient essentiellement en fonction de la localisation de la fracture.
Les fractures du col métacarpien relèvent le plus souvent d'un embrochage de type "Foucher". Le chirurgien introduit des broches dans l'os par sa base. A l'extrémité de l'os les broches vont maintenir le col fracturé.

On retire les broches vers la sixième semaine. En attendant on immobilise le doigt atteint ainsi que son voisin par une attelle "intrinsèque plus".
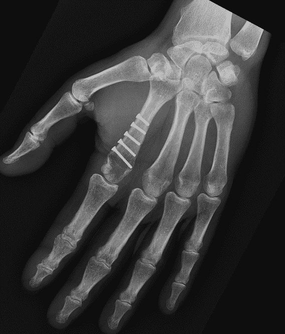
Au niveau de la métaphyse métacarpienne on préfère généralement les vissages ou les plaques. On accède à l'os par une incision sur le dos de la main. Le matériel ne se retire pas systématiquement. Si l'on décide de l'enlever, on attend en général une année.

Lorsque le trait de fracture est transversal, comme ci-dessus, la plaque est préférable. En revanche dès que la fracture présente un trait oblique et long, il est possible de ne réaliser qu'un vissage.

Assez souvent, la fixation de la diaphyse des métacarpiens nécessite une immobilisation par attelle intrinsèque plus dans les suites. Comme précédemment, la durée varie de 1 mois à 6 semaines.
Suivant le type de fracture, les bases de métacarpiens nécessiteront une plaque ou un brochage. Le raisonnement est exactement le même que pour les formes précédentes. Une plaque peut rester, les broches requièrent un retrait à 6 semaines.

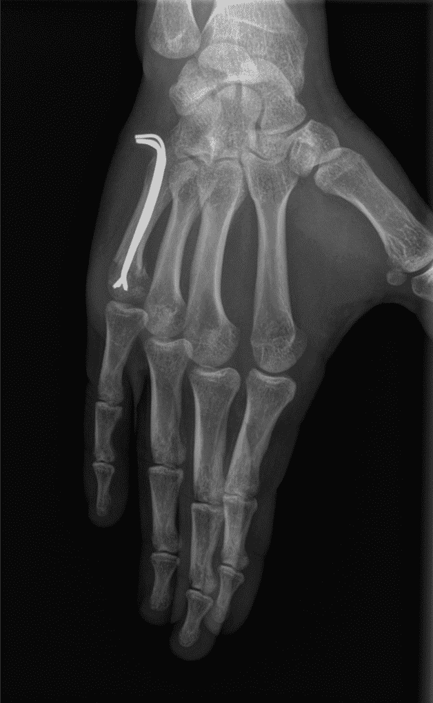
Lorsque la fracture de base touche l'articulation, il y a une tendance à la subluxation dorsale. On réalise alors un brochage prenant appui sur les os sains adjacents (illustration ci-dessus). Cela permet à la fois de fixer la fracture et réduire la subluxation.
L'immobilisation post-opératoire est en revanche différente. Habituellement on immobilise le poignet tout en laissant les doigts libres.
Cas particulier: la fracture du col du 5ème métacarpien
Le mécanisme d'une fracture du col du 5ème métacarpien est quasiment toujours le même: un coup de poing dans un mur. Il s'agit de la fracture métacarpienne la plus fréquente.

En cas de trouble de rotation la chirurgie devient nécessaire. On réalise alors un embrochage type "Foucher". Dans les suites post-opératoires, le patient garde les 4ème et 5ème doigts immobilisés dans une attelle "intrinsèque plus" pendant 4 à 6 semaines. Le retrait des broches a lieu environ 6 semaines après l'intervention.

S'il n'y a pas de trouble de rotation et que l'angulation du col est faible, l'attelle suffit pendant 4 à 6 semaines.
Conclusion
Les fractures métacarpiennes sont très fréquentes, notamment celle du 5ème métacarpien. Le traitement est très codifié. Ce sont en général des fractures qui ne laissent que peu, voire aucune, séquelles.